Dấu hiệu bệnh sùi mào gà ở nam giới và triệu chứng bệnh sùi mào gà ở nữ giới có lẽ là một trong những thông tin mà rất nhiều người đang quan tâm. Nhất là những người đang nghi ngờ mắc bệnh hoặc đang có những dấu hiệu bất thường. Sùi mào gà là căn bệnh xã hội hết sức nguy hiểm, nó có thể gây ra rất nhiều triệu chứng khác nhau ở mỗi cá thể người bệnh. Để nhận biết và điều trị sớm thì thông tin về triệu chứng của bệnh sùi mào gà là kiến thức mà nhất định người bệnh phải nắm được. Vậy cách nhận biết bệnh sùi mào gà thể hiện qua đâu? Cùng chúng tôi tìm hiểu ngay 15 dấu hiệu của sùi mào gà có trong bài viết này nhé.
Xem thêm:
Trước khi tìm hiểu về các dấu hiệu sùi mào gà ở nam giới hay biểu hiện của bệnh sùi mào gà ở nữ thì đầu tiên người bệnh cần nắm rõ những kiến thức cơ bản về căn bệnh này. Nắm được những kiến thức cơ bản này cũng chính là cách để người bệnh bảo vệ chính mình, cũng như bảo vệ cả xã hội.

Bệnh sùi mào gà là bệnh gì hay còn được gọi với cái tên khác là bệnh mồng gà, hiểu đơn giản là bệnh truyền nhiễm qua đường tình dục, do một loại virus gây ra. Loại virus này mang tên Human Papillomavirus (HPV) thường xâm nhập và phát triển khi người bệnh quan hệ không an toàn, quan hệ với người mắc bệnh nên rất dễ truyền nhiễm.
Thông thường, ở những người mắc bệnh thì khi virus xâm nhập sẽ mất khoảng vào tuần là phát bệnh, ở một số trường hợp có thể là vài năm. Hầu hết những người mắc bệnh ban đầu sẽ không có quá nhiều triệu chứng của sùi mào gà nên còn khó nhận biết. Tỷ lệ số người mắc bệnh sùi mào gà không quá cao, nhưng mọi người cũng không nên chủ quan.
Sùi mào gà là bệnh sẽ thường xuất hiện nhiều nhất ở độ tuổi sinh sản, nhất là đối với người có lối sống quan hệ phức tạp. Cụ thể bệnh sùi mào gà sẽ do những nguyên nhân chính sau đây:
Như đã nhắc đến ở trên, sùi mào gà thường xuất hiện khi người bệnh có lối sống quan hệ phức tạp, quan hệ với quá nhiều người hay quan hệ tình một đêm, quan hệ với gái mại dâm,... Đây cũng là nguyên nhân chính gây ra bệnh sùi mào gà ở cả nam và nữ giới, khi quan hệ không sử dụng các biện pháp phòng tránh an toàn. Theo khảo sát cho thấy thì phần lớn người mắc bệnh sùi mào gà đều do nguyên nhân này gây ra.
Mẹ bầu mắc bệnh sùi mào gà trong quá trình mang thai, nếu không được điều trị dứt điểm thì không chỉ lây truyền sang con, mà còn có thể ảnh hưởng đến cả tính mạng thai nhi. Loại virus này khi xâm nhập có thể đi vào đường hô hấp, hạn chế sự phát triển của trẻ. Thai phụ mắc bệnh sùi mào gà cũng có thể làm tăng nguy cơ mắc bệnh ung thư cổ tử cung, các bệnh liên quan đến bộ phận sinh dục, sinh non hay phải mổ để lấy thai sớm. Chính vì thế mà mẹ bầu cần phát hiện sớm để điều trị kịp thời trước khi sinh để phòng tránh được tối đa những mối nguy hại này.
Người mắc bệnh sùi mào gà khi có những vết lở loét, vết thương hở thì khi tiếp xúc trực tiếp cũng sẽ rất dễ lây truyền bệnh. Dù vô ý chạm vào vết thương ở một thời gian ngắn thì nguy cơ mắc bệnh vẫn có thể xảy ra. Đó là lý do mà rất cần thận trọng khi tiếp xúc với người mắc bệnh hoặc đang nghi ngờ mắc bệnh. Hiện tượng bệnh sùi mào gà có thể xuất hiện dịch nhầy, mủ hoặc máu nên khi va chạm sẽ rất dễ dính bệnh.
Nam, nữ giới có thể mắc bệnh sùi mào gà khi dùng chung đồ cá nhân với người mắc bệnh. Các loại đồ dùng có thể kế đến như khăn tắm, quần áo, bàn chải hay các vật dụng ma sát trực tiếp với da,... Lý do bệnh có thể truyền nhiễm qua đồ dùng cá nhân là bởi vì triệu chứng bệnh sùi mào gà có thể xuất hiện ở nhiều vị trí, nên virus cũng có thể lưu trú ở đồ dùng cá nhân của người bệnh.

Triệu chứng bệnh sùi mào gà ở nam giới và dấu hiệu bệnh sùi mào gà ở nữ giới có thể khác nhau ở một số đặc điểm. Để có cách nhận biết bệnh sùi mào gà ở nữ hay nam giới chính xác thì người bệnh có thể dựa theo 15 dấu hiệu tiêu biểu dưới đây:
Biểu hiện đầu của bệnh sùi mào gà mà nam giới có thể quan sát để nhận biết là khi thấy bộ phận sinh dục có mọc các nốt u nhú. Dấu hiệu của sùi mào gà có những u nhú chính là dấu hiệu dễ nhận biết nhất của căn bệnh này. Ở nam giới thì các nốt ú nhú sẽ xuất hiện ở vùng đầu hoặc thân dương vật, bao quy đầu, rãnh dương vật hay lỗ niệu đạo,... Ban đầu thì nó còn nhỏ nên nhiều nam giới có thể khó nhận biết, những càng về sau các đám sùi mào gà này sẽ càng to ra và lan rộng gây nhiều ảnh hưởng lớn.
Triệu chứng sùi mào gà ở nữ giới cũng khá giống với nam giới, khi mà phần lớn các nốt ú nhú cũng phát triển ở bộ phận sinh dục. Nó hình thành và phát triển n ở âm hộ, thành âm đạo, khu vực giữa bộ phận sinh dục ngoài, môi lớn, môi bé, cổ tử cung, niệu đạo,...Vì cấu tạo của bộ phận sinh dục nữ giới khác phức tạp nên nhiều chị em cũng khác khó để nhận biết. Chỉ đến khi các nốt sùi mào gà phát triển hoặc vỡ ra gây ngứa, tăng tiết dịch âm đạo thì nhiều chị em mới nghi ngờ để đi khám, xét nghiệm phát hiện bệnh.
Hầu hết những người bệnh mắc sùi mào gà ở bộ phận sinh dục thì rất dễ lây lan đến hậu môn. Hoặc một số trường hợp quan hệ tình dục bằng đường hậu môn, nhất là quan hệ đồng giới thì nguy cơ mắc sùi mào ở hậu môn càng cao. U nhú khi xuất hiện ở hậu môn sẽ nằm ở vị trí như ống hậu môn, ngay miệng hậu môn gây cảm giác rất khó chịu. Nhiều trường hợp mắc sùi mào gà ở hậu môn lại nhầm lẫn với bệnh trĩ nên còn khá chủ quan và không biết cách để nhận biết điều trị bệnh sớm.

Triệu chứng của sùi mào gà không chỉ xuất hiện ở bộ phận sinh dục nam, nữ giới mà nó còn có thể phát triển ở mắt. Hiện tượng sùi mào gà này có thể xảy ra khi cơ thể tự lây nhiễm khi nốt sùi bị vỡ, hoặc người bệnh chạm tay vào cùng tổn thương rồi tiếp xúc lên vùng mắt. Nốt sùi mào gà khi xuất hiện ở mắt sẽ thường nằm ở các bị trí như vực mắt, cùng bờ mi hoặc có thể là cả trong mắt. Điều này khiến tầm nhìn bị cản trở, mắt có cảm giác cộm rất khó chịu. Hơn thế nữa, triệu chứng của bệnh sùi mào gà này còn ảnh hưởng đến thẩm mỹ, suy giảm thị lực của người bệnh.
Biểu hiện sùi mào gà ở miệng thường do người bệnh quan hệ bằng đường miệng, nó có thể nổi u nhú ở lưỡi, cổ họng hay mép, vùng môi, khoang miệng, niêm mạc miệng... Ngoài quan hệ bằng đường miệng thì người bệnh dùng chung bàn chải, hôn sâu hay chung cốc,...cũng có thể mắc triệu chứng sùi mào gà ở miệng. Biểu hiện sùi mào gà ở miệng này nếu phát triển càng lớn thì càng nguy hại, khiến người bệnh nuốt thức ăn cũng có thể đau. Các nốt mụn sùi mào gà vỡ ra ở miệng chảy dịch gây mùi hôi rất khó chịu.
Dấu hiệu của bệnh sùi mào gà ở nam giới, nữ giới có thể là tình trạng các nốt ú nhú xuất hiện ở tay. Thường thì các nốt u nhú mọc ở tay cũng là do người bệnh có tiếp xúc trực tiếp với nguồn bệnh hoặc dùng chung đồ dùng cá nhân. Ở bàn tay, cánh tay hoặc khuỷu tay sẽ xuất hiện các nốt u nhú sần sùi, ban đầu nhỏ và tách biệt nhưng cũng nhanh chóng chụm lại từng cụm giống như bông cải hay mào gà. Các nốt u nhú ở vị trí này cũng có thể rất dễ vỡ và lây lan nhanh chóng sang các bộ phận khác.
Cách nhận biết sùi mào gà phát triển ở phổi có thể thấy qua tình trạng ho khan kéo dài, nếu u nhú phát triển lớn thì người bệnh còn có thể cảm thấy khó thở, hô hấp kém và thậm chí là ho ra máu. Thông thường thì những trường hợp mắc sùi mào gà ở phổi rất khó để nhận biết, người bệnh chỉ có thể nhận biết khi đi khám và chụp X-quang. Nguyên nhân khiến sùi mào gà phát triển ở phổi là do virus xâm nhập vào họng, phát triển ở miệng rồi lây truyền sang khu vực phế quản và gây bệnh.
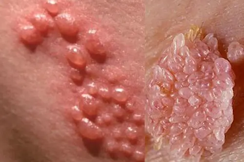
Các nốt u nhú khi xuất hiện có hình dạng như mụn cóc, súp lơ hay mào gà. Ban đầu nó có thể nhỏ như đầu kim hoặc to bằng nắm tay, có thể đơn lẻ hoặc thành từng cụm. Nếu bệnh càng phát triển thì các đám sùi mào gà này cũng sẽ phát triển lan rộng sang các bộ phận khác. Ban đầu có thể mọc đơn lẻ nhưng sau phát triển lên thành các cụm lớn, khi quan sát thấy sẽ có cảm giác rất ghê sợ. Nếu phát hiện thấy biểu hiện bệnh sùi mào gà ở nữ giới hay nam giới này thì phần trăm lớn là bạn đã mắc bệnh.

Có rất nhiều trường hợp khi mắc bệnh sùi mào gà còn có thể nhầm lẫn sang các bệnh lý khác, hoặc chủ quan khi nghĩ đó các nốt bình thường. Đó cũng là lý do mà nhiều người không điều trị kịp thời khiến bệnh trở nặng, khó khăn trong việc điều trị. Nếu nhận thấy bản thân xuất hiện các nốt sùi mào gà có màu hồng hoặc màu da như cục thịt, mềm, nhô lên bề mặt da thì đừng chủ quan. Hãy đi khám xét nghiệm thật sớm khi bệnh còn đang ở giai đoạn đầu này.
Một dấu hiệu nhận biết bệnh sùi mào gà mà hầu hết nam hay nữ giới đều mắc phải đó chính là cảm giác ngứa ngáy, khó chịu. Cảm giác này sẽ xuất hiện ở vùng sinh dục, đặc biệt là khi tiếp xúc với nước tiểu hoặc dịch âm đạo. Ngứa rát có thể kéo dài từ vài ngày đến vài tuần, tùy thuộc vào mức độ bệnh nặng hay nhẹ. Dấu hiệu sùi mào gà ở nam hay nữ giới này sẽ càng phức tạp hơn khi các u nhú bị vỡ, chảy dịch, lở loét. Nếu nhận thấy dấu hiệu này thì người bệnh nên đi khám xét nghiệm để phát hiện sớm.
Đau nhức hoặc có thể là chảy máu khi quan hệ là dấu hiệu bị sùi mào gà ở nữ giới và nam giới thường gặp. Khi bị nhiễm sùi mào gà, vùng kín có thể sưng đỏ và đau nhức, gây khó khăn trong quá trình quan hệ tình dục. Dấu hiệu của sùi mào gà này cũng có thể tăng lên khi có nhiễm trùng ở các nốt sùi hoặc khi các nốt sùi phát triển to và nhiều. Các nốt sùi mào gà khi bị tổn thương có thể chảy máu, đặc biệt sau khi quan hệ tình dục ma sát trực tiếp. Tình trạng chảy máu cũng có thể do các nốt sùi bị nứt hoặc bong tróc từ trước nên khi quan hệ cọ xát sẽ càng gây ảnh hưởng.
Các nốt sùi mào gà xuất hiện ở vùng sinh dục, đặc biệt là ở đầu hoặc trục của dương vật, bìu hoặc hậu môn ở nam giới hoặc ở âm hộ, thành âm đạo, khu vực giữa bộ phận sinh dục ngoài và hậu môn, ống hậu môn và cổ tử cung ở phụ nữ. Chúng hình thành và phát triển có thể gây sưng tấy, viêm nhiễm, chảy máu hoặc nhiễm trùng ở vùng sinh dục hoặc hậu môn, làm kích thích các thần kinh và gây cảm giác đau rát khi tiếp xúc với nước tiểu hoặc đau rát khi đi tiểu. Đó là lý do mà đau rát, khó tiểu chính là biểu hiện bệnh sùi mào gà ở nam giới, dấu hiệu bị sùi mào gà ở nữ đáng chú ý.

Ngoài cảm giác đau rát khi đi tiểu là triệu chứng sùi mào gà ở nam hay biểu hiện sùi mào gà ở nữ thì người bệnh cũng có thể bị tiểu buốt, tiểu rắt rất khó chịu. Những cơn buồn tiểu đến liên tục nhưng mỗi khi đi tiểu lại rất ít, người bệnh cảm thấy buốt và khó tiểu. Nếu tình trạng này kéo dài sẽ ảnh hưởng rất lớn đến đời sống sinh hoạt của người bệnh, ảnh hưởng đến chất lượng công việc, gây hại đến bàng quang và nguy cơ mắc bệnh về tiết niệu. Hiện tượng sùi mào gà này cũng khá phổ biến mà hầu hết người mắc đều có thể gặp phải, nhất là khi bệnh phát triển ngày càng phức tạp.
Các nốt sùi mào gà có thể phát triển ở nhiều vị trí trên cơ thể, nhiều nhất là ở bộ phận sinh dục và hậu môn. Khi các nốt sùi mào gà phát triển phức tạp và nhanh chóng lây lan sẽ khiến cho hậu môn, người bệnh sẽ có cảm giác đau nhức khi đi đại tiện. Cảm giác đau còn có thể gặp phải khi người bệnh hoạt động, ngồi hoặc cả khi vệ sinh cá nhân. Ngoài hậu môn thì hiện tượng sùi mào gà đau nhức, sưng tấy còn ở bộ phận sinh dục. Dương vật hoặc âm đạo của nữ giới sẽ sưng đỏ, tấy đau kèm theo nhiều hiệu tượng khác.
Dấu hiệu bệnh sùi mào gà ở nam giới, nữ giới tiếp theo mà người bệnh có thể nhận biết qua dịch tiết từ bộ phận sinh dục. Cách nhận biết bệnh sùi mào gà này sẽ nặng hơn ở nữ giới, khi cấu tạo âm đạo phức tạp, thường xuyên ẩm ướt. Biểu hiện của sùi mào gà ở nữ này sẽ nhận thấy khi dịch âm đạo có mùi hôi khó chịu, màu sắc lạ thường và vón cục hoặc loãng như nước. Âm đạo luôn ẩm ướt cũng khiến cho virus phát triển mạnh làm bệnh ngày càng nặng hơn. Còn đối với nam giới thì ở vùng đầu dương vật, lỗ sáo cũng có thể tiết dịch kèm mùi hôi, có thể là màu vàng hoặc xanh xám. Đó cũng chính là hiện tượng sùi mào gà ở nam giới dễ dàng nhận biết.
Bất kể một bệnh lý xã hội nào cũng gây nguy hiểm, bệnh sùi mào gà cũng vậy. Nếu không được điều trị sớm thì bệnh không chỉ ảnh hưởng đến sức khỏe, đời sống của người bệnh, mà còn ảnh hưởng đến cả xã hội ngoài kia. Đó là lý do mà khi mắc bệnh thì tuyệt đối không được chủ quan, dấu bệnh mà không điều trị sớm. Dựa vào những triệu chứng của bệnh sùi mào gà ở trên mà hãy đi khám điều trị thật sớm để phòng tránh những biến chứng nguy hiểm sau:

Ngoài câu hỏi về dấu hiệu nhận biết bệnh sùi mào gà thì địa chỉ chữa căn bệnh này an toàn, hiệu quả chắc hẳn cũng là thắc mắc của nhiều người bệnh. Chính vì thế mà trong bài viết này chúng tôi không chỉ muốn nhắc đến hiện tượng sùi mào gà, mà còn muốn gợi ý cho bạn đọc về một địa chỉ chữa bệnh uy tín.
Lựa chọn được một địa chỉ khám chữa bệnh an toàn cũng chính là cách để người bệnh bảo vệ bản thân, tiết kiệm thời gian và chi phí. Và địa chỉ mà chúng tôi muốn giới thiệu đó chính là phòng khám bệnh xã hội Hưng Thịnh - Một trong những phòng khám chữa bệnh sùi mào gà uy tín tại Hà Nội, đạt đủ các tiêu chí của một phòng khám bệnh an toàn. Dưới đây là thông tin cơ bản của phòng khám này:
Phòng khám bệnh xã hội Hưng Thịnh được cấp phép hoạt động của sở Y tế về khám chữa bệnh xã hội vào năm 2014, trong đó có bệnh sùi mào gà. Tại phòng khám có rất nhiều bác sĩ giỏi, tay nghề cao và kiến thức chuyên môn vững. Không chỉ vậy mà bác sĩ còn là những người từ giữ chức vụ cao tại các bệnh viện lớn, được mời về công tác làm việc để trực tiếp khám chữa bệnh cho bệnh nhân. Cũng chính vì có một đội ngũ bác sĩ giỏi như vậy mà phòng khám bệnh xã hội Hưng Thịnh luôn được đánh giá rất cao về chất lượng khám chữa bệnh đạt hiệu quả tối đa.
Để xét nghiệm, điều trị bệnh sùi mào gà mang tính chính xác cao thì phòng khám cũng rất chú trọng đầu tư vào các trang thiết bị y tế, dụng cụ an toàn, tiên tiến. Người bệnh khi tới thăm khám không chỉ được trải nghiệm một chất lượng dịch vụ tốt, chuyên nghiệp, mà còn được khám điều trị tại một không gian sạch sẽ, thoáng mát và vô cùng tiện nghi. Quy trình khám chữa bệnh sùi mào gà tại đây cũng rất nhanh chóng, đúng theo quy định. Và đặc biệt là người bệnh không cần chờ lâu, khám chữa bệnh ngoài giờ hành chính nên rất thuận tiện cho người bệnh.
Phương pháp chữa sùi mào gà tại phòng khám sùi mào gà Hưng Thịnh
Hiện nay, phòng khám Hưng Thịnh đang thực hiện điều trị bệnh sùi mào gà bằng liệu pháp ALA - PDT. Đây là liệu pháp chữa sùi mào gà tiên tiến, hiện đại và rất phổ biến hiện nay. Với liệu pháp này thì người bệnh không chì được điều trị khỏi bệnh mà còn hạn chế được nhiều rủi ro khi điều trị bệnh bằng các phương pháp truyền thống khác.
Cơ chế hoạt động của liệu pháp chữa sùi mào gà ALA - PDT tại phòng khám Hưng Thịnh là sử dụng chất cản quang, ánh sáng và tác động bởi oxy nhằm phá hủy cấu trúc của loại virus gây ra bệnh. Liệu pháp này có thể điều trị bệnh tận gốc, dứt điểm vào từng đám sùi mào gà để chúng không thể phát triển, lây lan. Ưu điểm nổi bật của liệu pháp này có thể kể đến như:
Tuy là liệu pháp chữa sùi mào gà tiên tiến, đem lại hiệu quả cao và cần sử dụng nhiều trang thiết bị hiện đại nhưng chi phí chữa bệnh sùi mào gà tại phòng khám Hưng Thịnh lại rất hợp lý. Các khoản chi phí theo chúng tôi khảo sát ở một số đánh giá của người bệnh là rất phù hợp, được công khai minh bạch, tư vấn kỹ càng trước khi khám nên người bệnh có thể hoàn toàn yên tâm. Phòng khám bệnh xã hội Hưng Thịnh còn thường xuyên gửi tặng người bệnh rất nhiều ưu đãi khi đặt lịch sớm. Vì thế mà đừng chần chờ gì nữa, hãy đăng ký khám sớm để được điều trị kịp thời căn bệnh sùi mào gà của mình.
Bài viết trên là toàn bộ những thông tin về 15 dấu hiệu bệnh sùi mào gà ở nam giới và nữ giới mà chúng tôi muốn gửi tới bạn đọc. Hy vọng đây sẽ là một bài viết có ích cho người bệnh khi đang trong quá trình tìm ra bệnh, tìm ra địa chỉ chữa bệnh của chính mình. Nhấn mạnh lại một lần nữa rằng: Bệnh sùi mào gà ảnh hưởng rất lớn đến sức khỏe, đời sống và xã hội, vì vậy hãy khám điều trị ngay khi có dấu hiệu mắc bệnh nhé.
